Медицина
Не был у врача 20 лет, приехал погостить в Чувашию — чуть не остался навсегда
56-летний мужчина, более двух десятилетий проживший в Санкт-Петербурге, приехал погостить к родным. Внезапно ему стало плохо: появилась одышка, распух живот, отекли ноги. Скорая доставила его в Центральную городскую больницу.
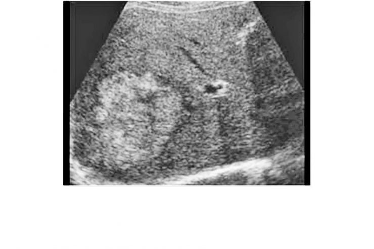
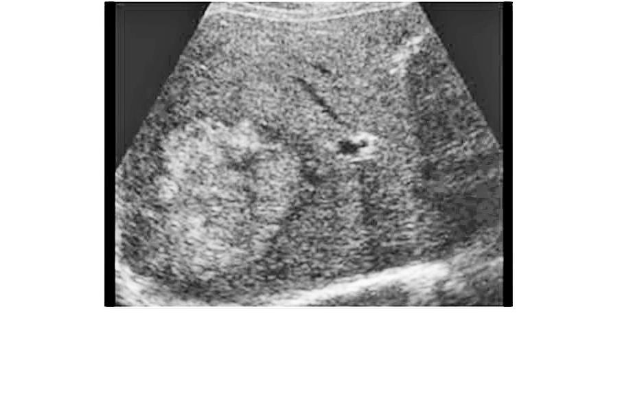
Врачи диагностировали асцит — скопление жидкости в брюшной полости, которое часто указывает на серьезные проблемы с печенью. В реанимации пациенту перелили кровь и провели лапароцентез (удаление жидкости). Только после этого состояние удалось стабилизировать. Дальнейшее обследование выявило вирусный гепатит С и гепатоцеллюлярную карциному — рак печени. Пациента направили в Республиканский онкологический диспансер.
В прошлом году благодаря нацпроекту «Продолжительная и активная жизнь» врачи Центральной городской больницы выявили более 400 случаев онкологии, из них 1,2% — рак печени.
Эта история — еще одно напоминание: диспансеризация помогает обнаружить болезнь вовремя и спасти жизнь.
-
Спорт1 день назадБольшой спорт редко бывает тихим
-
Новости1 день назадВ Чебоксарах приступили к устранению последствий утренней атаки беспилотников
-
Жизнь муниципалитетов3 дня назадВ муниципалитетах Чувашии модернизируют системы уличного освещения
-
Новости9 часов назадСемья Гороховых из Алатыря удостоена ордена «Родительская слава»


