Медицина
Самолечение чуть не стоило жизни 36-летнему чебоксарцу
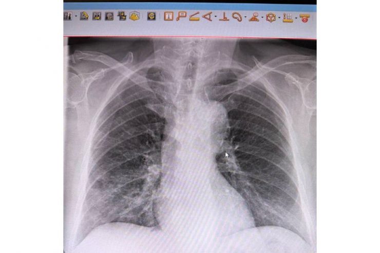
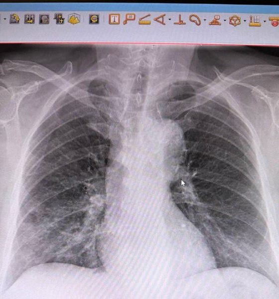
Мужчина привык лечиться без врачей: выбирал препараты по советам друзей или из интернета. Однажды утром он проснулся с температурой и кашлем и попросил жену сделать укол антибиотика, который хранился дома «на всякий случай». После инъекции появилась сыпь, отекли губы, начались проблемы с дыханием.
Бригада скорой доставила пациента в в реанимационное отделение Центральной городской больницы с анафилактическим шоком, отеком Квинке и давлением 80/50. Врачи стабилизировали его состояние лишь через сутки. Обследование выявило ещё и пневмонию. Сейчас мужчина переведён в пульмонологическое отделение, его жизни ничего не угрожает.
В Минздраве Чувашии призывают жителей не повторять ошибку пациента — лекарства назначает только врач
-
Новости3 дня назадРосреестр Чувашии рассказал, как оформить недвижимость по «гаражной амнистии»
-
Новости4 дня назадРосреестр Чувашии предупреждает: без адреса в ФИАС кадастровый учет приостановят
-
Новости4 дня назадЖителей Чебоксар призвали к бдительности из-за угрозы атаки БПЛА
-
СВО3 дня назадОлег Николаев в преддверии Международного женского дня встретился с матерями защитников Отечества

